At PeakView Cosmetic & Implant Dentistry we speak with patients who are dissatisfied with the appearance or shape of their gums. While most people think of things like teeth whitening when considering how to improve their smile, the appearance of the gums also makes a significant impact.
Gum contouring is a cosmetic procedure that can change the shape of your gums. A dentist can use this procedure to cut away excessive gum tissue that is giving you a “gummy” smile or to restore gum tissue that has receded and is now exposing too much of your teeth.
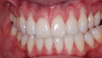
Typically, this is a highly personal decision that is made based on how you feel about your gums. If your gums are uneven, or they cover too much or too little of your teeth, then you may be a good candidate for gum contouring or gum reshaping.
There can be, but you will be medicated during the procedure, which will reduce the likelihood of you feeling any pain. The amount of pain really depends on how much gum tissue is being cut away, shaped, or grafted. Additionally, the type of dental tools in the procedure will impact what your gums feel like afterward. Currently, dentists are using both scalpels and lasers to complete gum procedures.
This also heavily depends on the type of tools used to complete the procedure. When a scalpel is used for gum contouring, sutures will be necessary and there will be more overall irritation. Very often, lasers can treat the gums without cutting or sutures, decreasing the recovery time. Regardless, you will experience some swelling and discomfort afterward. You can manage it by applying ice packs to your face for 15 minutes at a time and using ibuprofen.
Yes. You will need to be careful with what you eat. Since your gums will be sensitive, you should avoid eating anything that is sharp or that could cut, poke, or irritate them in any way. For this reason, most people stick with a soft diet of yogurt, soup, ice cream or pudding for a couple of days. If your gum reshaping was performed using a scalpel, it is likely that you will be scheduled for a follow-up visit. At that point, your dentist will examine the gums to determine if everything is healing properly, and if it is, they will let you know when you can return to all your normal dietary habits. Additionally, you may be prescribed an antibiotic rinse to use in order to combat a potential infection, and when you do brush your teeth, you will need to do so very gently.
These terms are used interchangeably by dentists who perform them. Some may use contouring to describe the procedure with the use of a scalpel and reshaping when lasers are used. At the end of the day, the approach and objective are very similar. It is the tools that are different. The key is that if you want your gums to look different, it doesn’t really matter which term is used, both contouring and reshaping can be an excellent solution.
That depends on why you want to schedule a gum reshaping. If you are calling our office because you suffer from gum disease, we will first examine you to determine if you have the condition, discuss your treatment options, and work to eliminate the actual disease. At that point, you may very well need a gum contouring procedure in order to restore gums that have receded and are now putting the health of your teeth, roots, and jawbone at risk. In a very real sense, gum contouring and grafting can help save your teeth.
That really depends on your insurance company and whether you are getting the procedure to restore gums ravaged by gum disease or if you are having it done to simply remove a gummy smile and improve your appearance. Typically, if it is for health reasons, the insurance company will pay for at least part of it.
You could get an infection or have a bad reaction to the anesthesia. If you have had surgery and anesthesia before, it is unlikely that you will have a bad reaction this time. Simultaneously, if you follow the aftercare instructions, your risk for infection will go down significantly.
If you do not like the appearance of your smile, call and schedule an appointment with our dental office. We can conduct a thorough examination and take X-rays before discussing what you do not like about your smile. We can then make a series of recommendations for how to address it. If you don’t need gum reshaping for medical reasons, you can always have other cosmetic procedures like teeth whitening or dental bonding completed first to see if the impact is significant enough for you. Otherwise, if your gums remain an obvious issue, you should explore gum contouring further, and we can then make a recommendation for the best way for you to proceed.
Combining Advanced Techniques and a Passion for Excellence, Dr. Adam Kwiatkowski Delivers Premier Care in Cosmetic and Implant Dentistry While Ensuring Patient Comfort Through IV Sedation Certification in Colorado.

Dr. Adam Kwiatkowski is a highly skilled cosmetic and implant dentist, driven by a passion for excellence. He began his journey at the University of Illinois at Chicago College of Dentistry, where he earned several accolades, including the International Congress of Oral Implantologists’ Pre-doctoral Student Achievement Award. His education continued with UIC’s Advanced Predoctoral Implant Program, and he was inducted into the prestigious Omicron Kappa Upsilon National Dental Honor Society.
Committed to staying at the forefront of dental innovation, Dr. Kwiatkowski regularly takes advanced Continuing Education courses. He is an active member of various professional organizations such as the ADA, AGD, CDA, and the American Academy of Implant Dentistry (AAID), and is working toward fellowships with both the AAID and the American Academy of Cosmetic Dentistry (AACD). He is also pursuing Diplomate status with the American Board of Oral Implantology. Additionally, he is certified in IV sedation in Colorado to ensure patient comfort.
Search for services, dental procedures, and expert tips from our patient resources.
Popular searches: Dental Implants, Cleanings, Insurance.
Take this 60-seconds quiz to see if dental implants are right for you!
Take this 60-seconds quiz to see if dental implants are right for you!